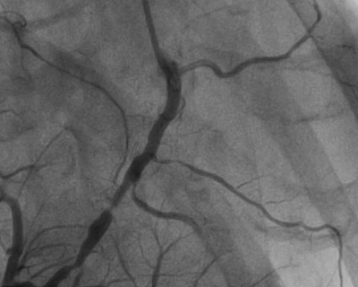
What is a coronary angiogram?
A coronary angiogram is an imaging test that uses X-rays to see the inside of the coronary arteries. It involves injecting a contrast dye into the blood vessels of the heart to make them visible on the X-ray images. A Coronary Angiogram Test in Hyderabad helps in diagnosing heart conditions and determining the severity of blockages in the arteries.
Why is a coronary angiogram performed?
It is used to diagnose and evaluate coronary artery disease (CAD), which is caused by the narrowing or blockage of coronary arteries. It helps doctors assess the severity of blockages and determine the best treatment options, such as medication, angioplasty, or surgery. If significant blockages are found, a heart blockage treatment in Hyderabad may be recommended, which can include stent placement or bypass surgery.
How is the procedure performed?
- Preparation: You may be asked to fast for several hours before the procedure.
- Anesthesia: A local anesthetic is given to numb the area where the catheter will be inserted, usually the groin or arm.
- Catheter Insertion: A thin, flexible tube called a catheter is inserted into a blood vessel and guided to the coronary arteries.
- Contrast Dye Injection: A contrast dye is injected through the catheter to highlight the coronary arteries.
- Imaging: X-ray images are taken as the dye moves through the arteries.
What should I expect during the procedure?
You might feel a warm sensation as the dye is injected, but the procedure itself is usually not painful. You may also feel some pressure or discomfort at the insertion site.
Are there any risks associated with coronary angiography?
Like any medical procedure, coronary angiography carries some risks, including:
- Allergic reaction to the contrast dye
- Bleeding or infection at the catheter insertion site
- Damage to blood vessels
- Kidney problems (especially in those with pre-existing kidney conditions)
How long does the procedure take?
The procedure typically takes between 30 minutes to 1 hour. However, you might need to spend additional time in the recovery area.